DigitalCROWN

千葉県市川市にあるデジタル専門歯科技工所 高品質な歯科技工物で歯科医師をサポートし、 患者様にご提供
     

     

コンセプト

Digital Dentistry 印象採得は
デジタルの時代へ
ストレスフリーの治療を始めましょう
デジタル歯科技工はデジタルに
強い歯科技工所へ

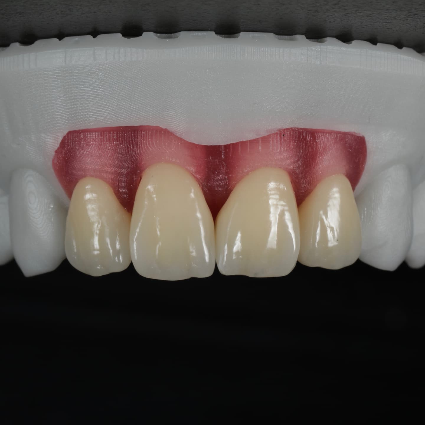
当社は2007年より歯科技工のデジタル化を進めており、最新の機材・材料を使用して患者様に満足していただける歯科技工物をご提供いたします、 歯科医師の先生方には調整料の少なくストレスのない治療のお助けをいたします口腔内スキャナー(IOS)を使用することで、石膏模型を作らずに補綴物を製作することが可能になりました。 クラウドを使ったオーダーにも対応し、作業効率の向上、石膏材料費の削減、配送時間の短縮等に貢献します。 デジタル機器は正確で均一な品質の歯科技工物を製作することが可能です。その為、当社では、高い精度を維持するため、最新のデジタル機器をいち早く導入しており、 匠の技と最新技術の融合を図り、研鑽と改善を重ね、 歯科医療業界に貢献してまいります。

これから導入を考えている先生方にも
具体的にアドバイスをさせて
いただいています。
デジタル技工の事についてご
不明点があれば何でもお尋ねください。

デジタルクラウン では近隣歯科医院様への直接納品だけでなく、全国発送も可能です。口腔内スキャナーを用いてデータ連携を行って製作にあたり、 完成した技工物をお送りすることで、全国どこの歯科医院様とも問題なくお取引が行えます。 どうぞ遠方の歯科医院様も、お気軽にお問い合わせください、 当技工所が、高品質な技工物をスムーズに提供します。

High quality

高品質

Speedy

早い納期

High services

質の高いサービス

各社IOS対応

製品

こちらでは当社の取り扱い製品
をご紹介します。
あらゆるシーンに対応した
CAD/CAM製作物、クラウン、
インレー、ブリッチ等、
マテリアルは主にジルコニア・
リチウムガラス(e.max) ・PMMA

フルジルコニアやジルコニアのみで製作するブリッジ、インプラント上部の製作などお任せください。
ジルコニアの素材は日々進歩しております。強度や透過性など症例に合わせて最適なものをご提案させて頂きます。
また、保険適用のハイブリッドレジンを使ったCAD/CAM冠も
前歯・小臼歯・大臼歯、クラウン、インレーも対応可能です。

Zirconia Ceramic

ジルコニアレイヤリングセラミック

ジルコニアフレームに陶材を築成したもので、細かな色調表見や高い透過性でもっとも審美的な歯冠修復物になります、舌側面はジルコニアで設計することによりチッピングしにくくなります。

Full Zirconia

フル・ジルコニア

ジルコニア単体のクラウンです。ジルコニアディスクには予めグラデーションレイヤーが付与されているため、歯頸部から歯冠部にかけて自然なグラデーションを再現することが可能となります。

e.max CAD

イーマックスキャド

IPS e.max キャドは、世界的に使用されているガラスセラミックスです。修復物を効率的に製作するのに適しており、多様な用途、包括的な加工オプション、530MPaの高い強度で知られています。

CAD/CAM

保険CAD/CAM冠

保険適応となった上下第一小臼歯、第二小臼歯、第一大臼歯に加え、 上下顎前歯(中切歯、側切歯、犬歯)まで対応範囲が広がりました。 特に加工の難しインレーにつきましても適切に対応

Implant

インプラント

IOSデータからインプラント 上部構造を設計加工します、ジルコニア以外でもe.maxでの対応も可能(穴あきブロック使用)モデルレスやカスタムアバットメントなどご相談ください、

PMMA

サージカルガイド・プロビジョナル

プロビジョナルレストレーションやセレックガイド等のレジン製も取り扱っております  
高品質な削り出しPMMAは口腔内でプラーク汚れ着色がつきずらいなどのメリットがあります。

設備

 

Digimo 

デジタルモデル・プリントサービス デンツプライシロナ社製高精度3Dプリンター使用、 デジタル印象を樹脂モデル化、適合・咬合の確認、 ジルコニアフレームにポーセレンを築盛する場合に必要な高精度な3Dプリンターモデルを製作します、
 

DLP造形システムと特許取得済みのフォースフィードバック(FF)機構により、最高レベルの精度とスピードを実現したデンタル専用3Dプリンターです。
この一台で様々なパーツを『生体適合性材料』で製造することができ、高い精度と製造速度を実現しました。


会社情報

会社概要

会社名

デジタルクラウン 

所在地

〒272−0826  千葉県市川市真間1−7−7

連絡先

047−374−3212

代表者

代表 小屋 順平

E-maill

digitalcrown@ark.ocn.ne.jp

営業日

平日 10時〜19時 土日 祝日休み

設立

2007年4月

問い合わせ

IOS・画像、データー専用メールアドレス
digicro118@gmail.com

DS CORE  

DS Core 歯科用クラウドソリューション
・Google Clooud プラットホーム上に構築されるオンラインクラウドストレージサービス、暗号化されるため非常に安心
・デジタルを活用したコミュニケーションツール、IOS、レントゲン、口腔内写真等々の共有化、
・シームレスなデーター移行で簡便で効率化、
先生方はIOSデータをラボに送信する必要はなく自動アップロードされます、歯科技工士はいつでも、さまざまなデバイス、PCやタブレットからデータを確認することができ、今まで見ることができなかったレントゲン画像などをビューワの必要なく見ることができます、

ラボID 2016130216
 
詳しくはこちら

Dentsply Sirona CERECの場合
コネクトケースセンターでの送受信が可能なので、コネクトケースセンターにログインの上、デジタルクラウン でラボ検索を行い、リクエストをお送りください。リクエスト確認後、承認致しますので、
その後データを送信してください。詳しい操作についてはCERECサポート担当の方までお問い合わせください。

必要な項目をご記入の上、「記入内容を確認」ボタンをクリックしてください。

※当社の営業時間は、平日月曜日から金曜日の午前10時から午後7時までとなります。

DigitalCROWN 

LINE公式アカウント

LINEの「友達追加」から「ID検索」またはQRコードでご登録お願いします。 ラインID @774kngwi